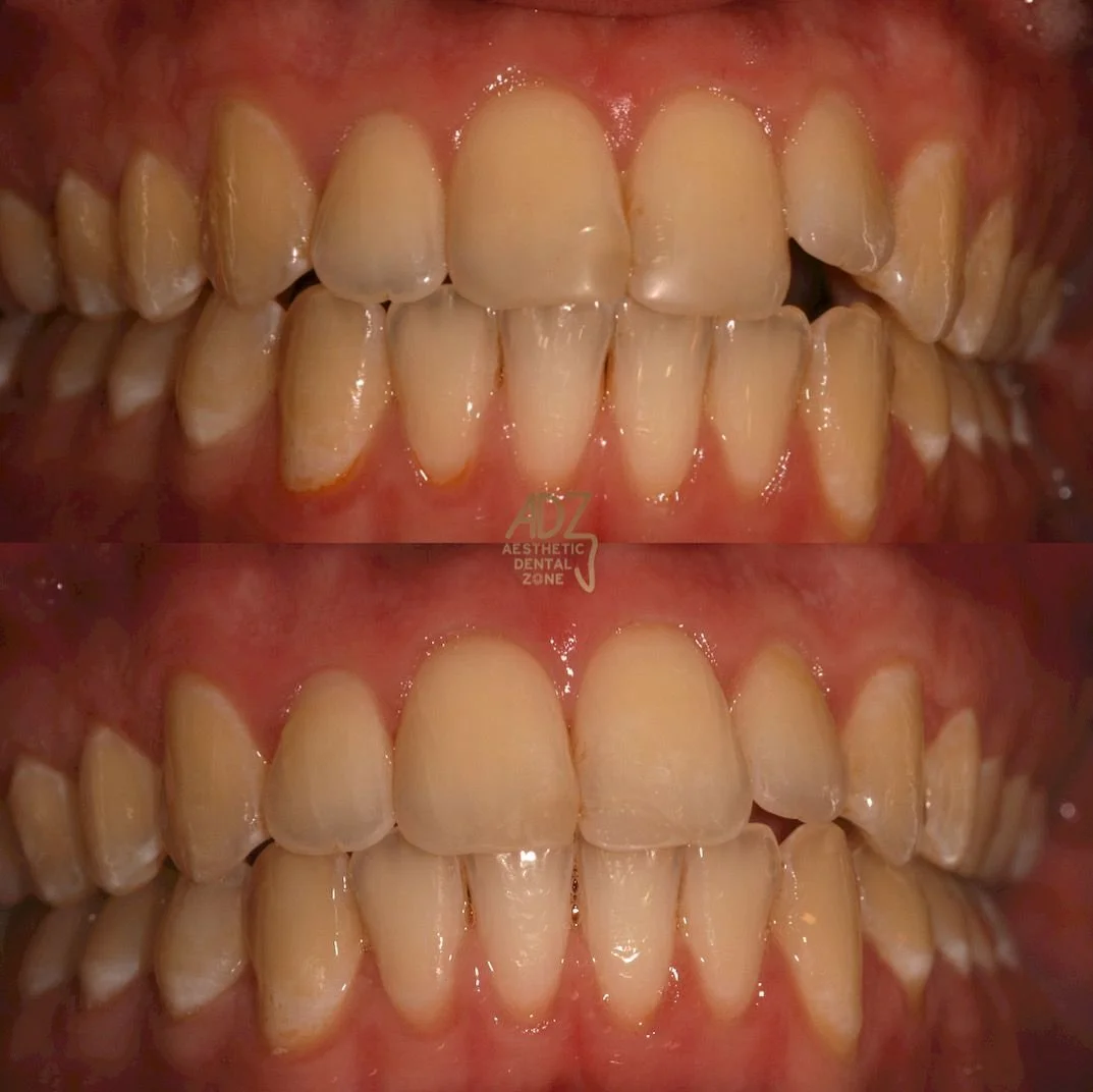
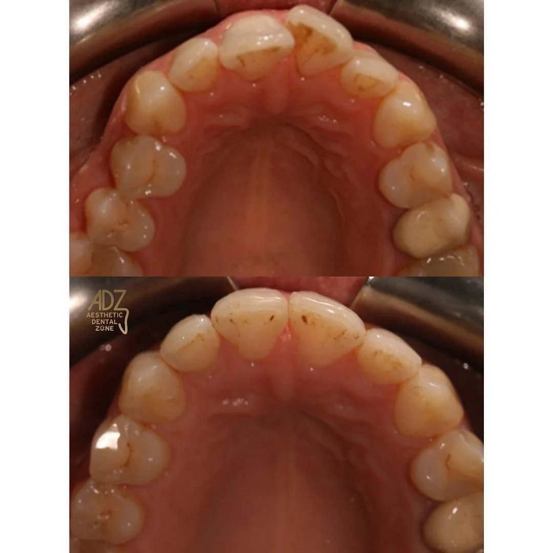
Orthodontics is the dentistry branch that focuses on correcting the alignment of a patient’s teeth and jaws. If you’re feeling self-conscious and anxious about your crooked smile, don’t worry! Not everyone has natural and perfect teeth, but thanks to our orthodontics, you can have the smile you have always wanted!

Why Orthodontics?

Our aim is not only to improve self-confidence but to maintain good dental health. We are able to:

  • Maintain a good bite making it easier to chew and speak

  • Avoid tooth decay/loss by making them easier to clean

  • Ensure proper function of the tooth

Fixed Vs Removable Appliances

Fixed Appliance - Braces

You've most likely heard of braces. they're the most common fixed appliance. They consist of bands, wires, and brackets. How do they work? The bands are the anchors held in place around your teeth. Brackets are attached to the front of your teeth. Arch wires connect the brackets to the bands. Tightening the archwires puts pressure on your teeth, slowly moving them towards their target position. Braces are usually adjusted monthly and are worn for a few months to a few years.

Learn more

Removable Appliance - Invisalign

Looking for an alternative to metal braces? Here at Aesthetic Dental Zone, we offer Clear Aligner or also known as Invisalign. A simple and invisible cosmetic solution to achieving the smile you desire. Avoid fixed appliances (braces) and realign your teeth with a set of our aligners. They are comfortable, clear and easy to wear.

Learn more